皮肤应用

  • 肿瘤性疾病

     

    结节性皮损、皮肤肿物的诊断和鉴别诊断;大小、深度、累及皮肤层次、与周围组织的毗邻;有无钙化、暗区;血流灌注情况。术前精准评估,划定切除区域范围,术后随访。

    可用于ACC、BCC、表皮囊肿、钙化上皮瘤、纤维瘤等。

  • 血管瘤与血管畸形

     

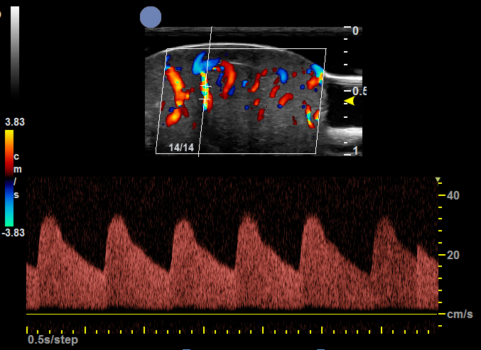
    应用于血管瘤辅助诊断,可测量病灶大小及范围,浸润深度,区分动静脉,血管走行,定量测量血流流速,观测血管瘤瘤体内组织分布,鉴别自然病程(增殖期/稳定期/消退期)。

    对于皮肤血管瘤和血管淋巴管畸形,超高频超声可以提供影像诊断和较明确的受累范围和层次判断,为制订治疗计划提供依据。通过治疗前后的高频超声影像对比,也可为治疗前后效果提供客观对比依据。

    可用于先天性血管瘤、草莓状血管瘤、混合型血管瘤、静脉畸形、淋巴管畸形等。

  • 炎性皮肤疾病

     

    可应用于观察炎性皮肤疾病的病变累及范围及深度,有无水肿、积液,进行临床分期,诊疗过程的动态监测、治疗指导、疗效评价。

    可用于银屑病、荨麻疹、特应性皮炎、痤疮等。

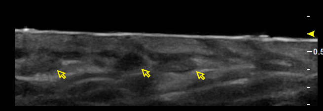
  • 正常皮肤层次

     

    皮肤是由表皮、真皮和皮下组织三部分组成的。 超高频皮肤超声可清晰观察皮肤三个基本层次,观察异物进入皮肤层次状态,以及皮肤附属器官毛囊,大汗腺等组织结构。

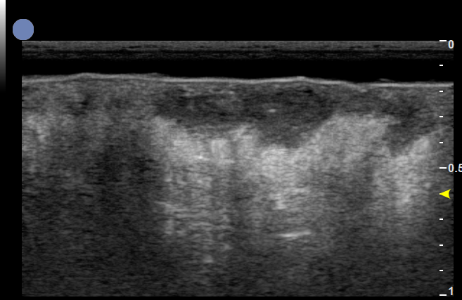
BCC(小暗区)

BCC(点状强回声)

BCC

BCC

PAGET

PAGET

鲍温病

鲍温病

鲍温病

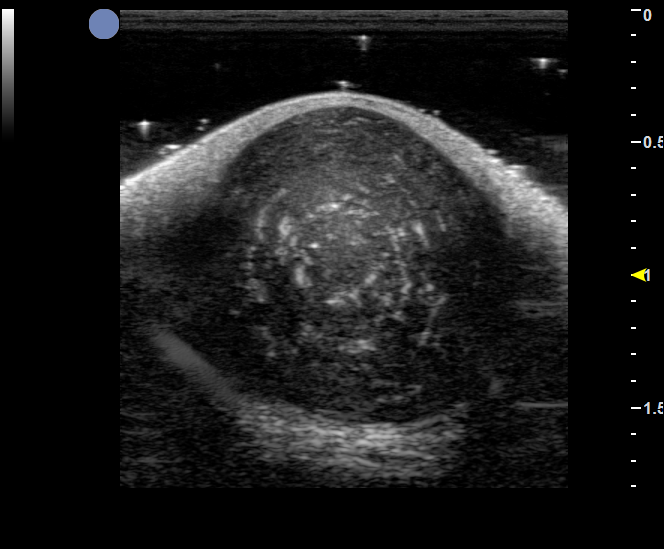
表皮样囊肿

表皮样囊肿(左肩)

甲下血管球瘤(甲部)

甲下血管球瘤(甲部)

鳞状细胞癌

钙化上皮瘤

皮内痣

恶性黑色素瘤-鼻

脂肪瘤

脂溢性角化

消退期血管瘤

增殖期血管瘤

增殖期血管瘤

扁平苔藓-右胳膊

扁平苔藓-右胳膊

痤疮-面

痤疮-面

感染性肉芽肿-右手第五掌指关节处

淋巴结肿大

湿疹-手

湿疹-手

银屑病

银屑病

汗腺(腋下)

毛囊(左前臂外)

手指入刺

正常皮肤